6 年
手机商铺
公司新闻/正文
106 人阅读发布时间:2025-10-29 15:11
导读:
在蛋白质合成的起始阶段,细胞必须精准识别起始密码子(如AUG),以确保翻译的正确性。一旦识别错误,可能导致蛋白质功能异常或疾病。
近期,一项发表于《核酸研究》的研究深入解析了核糖体小亚基蛋白uS11/Rps14(又名Rps14)如何通过与rRNA和mRNA的动态相互作用,充当“分子开关”调节翻译起始复合物(PIC)的构象变化,从而影响起始密码子识别的准确性。这项研究不仅揭示了翻译调控的新层,还为理解相关疾病(如癌症和遗传病)提供了分子基础。
文章索引:
标题:Distinct uS11/Rps14 interactions with the translation preinitiation complex differentially alter the accuracy of start codon recognition.
发表期刊:Nucleic Acids Research.
发表时间:2025.03
作者团队: 美国国立卫生研究院 Alan Hinnebusch团队
IF:13.1
DOI:10.1093/nar/gkaf163.
名词注释:
Sui-表型:起始密码子突变的抑制子表型,指某些突变能够“抑制”起始密码子突变带来的缺陷;
Ssu-表型:Sui-的抑制子表型,指某些突变能够抑制Sui-表型,即恢复对AUG密码子的偏好,提高翻译 fidelity。
His+表型:源于Sui-突变允许在his4-301基因的UUG起始密码子处起始翻译,合成组氨酸生物合成酶
研究结果
(1)uS11/Rps14在Py48S PIC的开放和封闭构象中的位置
作者通过结构模型对比了酵母48S预起始复合物(PIC,图1A)的开放和闭合构象中uS11/Rps14的位置与相互作用(图1B)。
在开放状态,uS11/Rps14-L137优先与rRNA残基G904(距离5.8 Å)和mRNA骨架 near -3 nucleotide(距离6.3 Å)相互作用,而R135和R136与rRNA骨架段相互作用(距离分别为5.9 Å和4.6 Å);
在闭合状态,rRNA-G904直接接触mRNA的-3 context nucleotide(距离2.9 Å),L137转而与mRNA磷酸二酯骨架更紧密结合(距离4.6 Å),且R135和R136更接近rRNA(距离4.0 Å和3.4 Å),揭示构象切换中相互作用重塑以精细调控起始密码子识别。
(2)uS11/Rps14残基L137的替换显著增加UUG起始密码子的利用
随后,作者通过体内实验系统评估了uS11/Rps14残基L137替换对起始密码子识别准确性的影响。
观察菌株JVY10在葡萄糖或半乳糖培养基上的生长情况,显示RPS14A缺失导致生长缺陷,但被WT RPS14A回补(图2A)。在his4-301背景菌株JVY10中,L137替换(如L137A、L137E、L137R)不影响基本生长(图2B),但显著增加UUG起始密码子的利用,表现为UUG:AUG报告基因表达比率升高(图2C),证实Sui-表型;然而,这些突变单独不引发His+表型(图2B),表明不足以抑制组氨酸缺陷。
在SUI3-2(eIF2β突变)背景下,L137突变协同增强His+表型(图2D)和UUG起始(图2E),但GCN4-lacZ assay显示无Gcd-表型(图2F),提示L137特异性促进闭合构象转换而不影响TC加载。综上,揭示L137通过稳定开放构象阻止错误起始,其替换破坏此功能,导致UUG识别增加。
(3)uS11/Rps14-L137替换减少对poor context AUG 的选择性
随后,作者通过多实验验证uS11/Rps14-L137替换突变(如L137E和L137R)降低对poor context AUG的选择性。
Western blot显示eIF1蛋白表达显著增加(图3A),表明SUI1基因(AUG上下文劣质)翻译增强;SUI1-lacZ报告基因实验证实天然CGU表达升高而优化AAA表达变化较小,导致表达比率降低(图3B);
GCN4-lacZ实验进一步揭示在在poor context uAUG-1处,下游ORF表达升高(图3C),整体证明L137突变促进劣质位点起始。
(4)uS11/Rps14-L137E在体外稳定UUG密码子处的闭合/PIN构象
然后,作者通过体外生化实验证实uS11/Rps14-L137E突变稳定48S预起始复合物(PIC)在UUG密码子处的闭合/PIN构象。
Polysome profiling分析显示L137E突变不影响整体翻译效率(多核糖体/单核糖体比率无显著差异)(图4A);利用电泳迁移变动分析(EMSA)测量三元复合物(TC)解离动力学(图4B),发现L137E突变40S亚基显著降低TC从UUG-mRNA复合物的解离速率,并增加超稳定复合物的形成(终点值升高),而对于AUG-mRNA复合物影响较小(图4C-E),表明L137E通过促进PIN状态转换增强UUG起始,与体内Sui-表型一致。
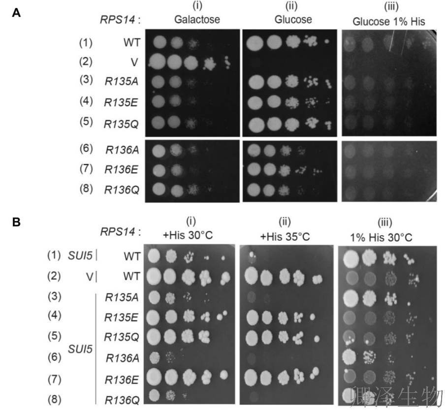
(5)uS11/Rps14 R135和R136的替换降低了对UUG起始密码子的选择性
体内点板实验和报告基因分析证实,uS11/Rps14的R135和R136替换(如R135E和R136E)显著降低了对UUG起始密码子的选择性。
利用JVY10菌株的转化子,带有指示的RPS14A等位基因或空载体,进行点板实验(图5A)。在JVY10菌株中,这些突变体在含SUI5(eIF5突变)背景下抑制了UUG起始介导的His+表型(图5B),并降低HIS4-lacZ报告基因的UUG:AUG表达比率(图5C),而不影响AUG起始效率,表明突变通过 destabilize 闭合构象提高起始准确性,与Ssu-表型一致。
(6)uS11/Rps14-R135和-R136替换降低了对poor context AUG的选择
多实验验证uS11/Rps14的R135和R136替换突变(如R135E、R136E)显著降低了对poor context AUG的选择:Western blot分析显示突变体降低eIF1蛋白表达(图6A-B),表明SUI1基因(poor context AUG)翻译减少;SUI1-lacZ报告基因实验证实天然poor context(-3CGU-1)表达显著降低而优化context(-3AAA-1)表达变化较小,导致表达比率下降(图6C);GCN4-lacZ实验进一步揭示在poor context uAUG-1处,下游ORF表达升高(图6D-E),整体证明这些突变通过去稳定闭合构象提高起始准确性,与Ssu-表型一致。
(7)uS11/Rps14-R135E在体外减少PIN状态Met-tRNAi容纳
体外多聚核糖体分析和TC解离动力学实验证实uS11/Rps14-R135E突变 使得闭合/PIN构象不稳定。Polysome profiling分析显示Rps14-R135E突变导致多聚体显著减少,而对40S亚基丰度的影响相对较小(图7A),TC解离实验揭示R135E显著增加三元复合物(TC)从AUG和UUG起始复合物的解离速率并降低超稳定复合物形成(终点值减少),尤其对UUG复合物影响更显著(图7B-D),表明突变通过减少Met-tRNAi在PIN状态的容纳,增强起始准确性,与体内Ssu-表型一致。
(8)uS11/Rps14残基在调节预起始复合物(PIC)从开放到闭合构象转换中的不同作用
最后,结构模型揭示了uS11/Rps14残基在调控预起始复合物(PIC)构象切换中的双重作用;
该机制类似于eIF1A的SE/SI元件功能,整体凸显uS11/Rps14通过动态相互作用精细调控起始密码子识别的准确性。
研究结论
这项研究首次阐明uS11/Rps14作为翻译起始的“分子精度调节器”,通过残基特异性相互作用调控PIC构象切换,确保起始密码子识别的准确性。

欢迎致电了解详情或咨询!
广州卿泽生物科技有限公司
地址:广州市黄埔区伴河路96号一栋三层321房
电话:18925086102(微信同号)